在春暖花开的五月,为了提高广大同学的基础实验技能、培养学生动手能力和严谨的实验思维,给学生提供一个展现自我的平台,苏州大学生物医学研究院技术员协会特开展实验技能竞赛,在同学们积极的响应和各实验室技术员的共同努力下,本次竞赛完美落幕。
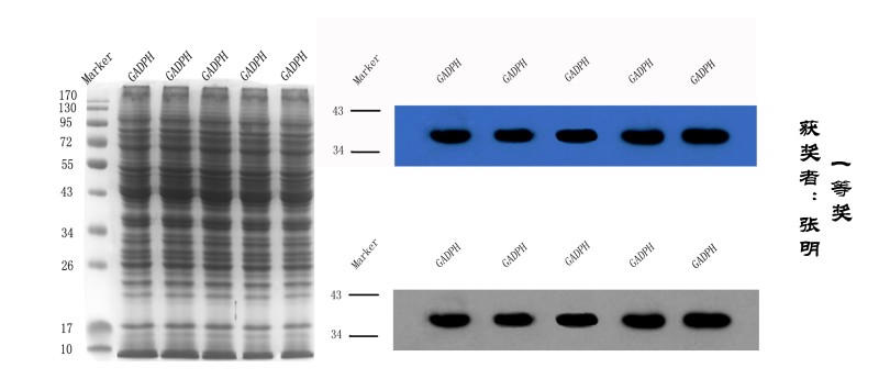
在提交的Western Blotting图片中,涌现出很多优秀的作品,同时也有很多创意十足、新颖独特的图片脱颖而出。经过认真评估与慎重考虑,参赛学生张明、左向阳、朵翠翠和何觅春分别荣获比赛的一、二、三等奖。

左向阳同学凭借颜色绚丽、主题突出的《晴天娃娃》、《月圆》以及《头脑风暴》,以独特的创意赢得了评委老师的一致青睐,夏赟凭借参赛作品《爱心》得到了评委们的共同好评,两人共同夺得了本次竞赛的创意奖。

本次竞赛不仅为学生们搭建了一个展露才华与创意的舞台,也更好地为实验技术交流提供了平台。通过这次竞赛,同学们的动手实践能力得到了提高,以后IBMS技术员协会还会举行更多类似的技术交流活动以期在提高同学们技术能力的同时,带动更活跃的科研文化氛围。
苏州大学IBMS技术员协会
2013-05-16
起草人:协会秘书部张丽婷